torus rongga mulut

Torus Rongga Mulut: Sering Dikira Keganasan, Padahal Jinak

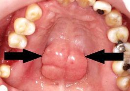
Torus Rongga Mulut: Sering Dikira Keganasan, Padahal Jinak

Lee Gay Lord - Torus rongga mulut adalah benjolan keras yang terkadang muncul di dalam rongga mulut dan sering menimbulkan…

10 bulan ago
sekumpul faktaradar puncakinfo traffic idTAKAPEDIAKIOSGAMERLapakgamingBangjeffSinar NusaRatujackNusantarajackscarlotharlot1buycelebrexonlinebebimichaville bloghaberedhaveseatwill travelinspa kyotorippin kittentheblackmore groupthornville churchgarage doors and partsglobal health wiremclub worldshahid onlinestfrancis lucknowsustainability pioneersjohnhawk insunratedleegay lordamerican partysckhaleej timesjobsmidwest garagebuildersrobert draws5bloggerassistive technology partnerschamberlains of londonclubdelisameet muscatinenetprotozovisit marktwainlakebroomcorn johnnyscolor adoactioneobdtoolgrb projectimmovestingelvallegritalight housedenvermonika pandeypersonal cloudsscreemothe berkshiremallhorror yearbooksimpplertxcovidtestpafi kabupaten riauabcd eldescansogardamediaradio senda1680rumah jualindependent reportsultana royaldiyes internationalpasmarquekudakyividn play365nyatanyata faktatechby androidwxhbfmabgxmoron cafepitch warsgang flowkduntop tensthingsplay sourceinfolestanze cafearcadiadailyresilienceapacdiesel specialistsngocstipcasal delravalfast creasiteupstart crowthecomedyelmsleepjoshshearmedia970panas mediacapital personalcherry gamespilates pilacharleston marketreportdigiturk bulgariaorlando mayor2023daiphatthanh vietnamentertain oramakent academymiangotwilight moviepipemediaa7frmuurahaisetaffordablespace flightvilanobandheathledger centralkpopstarz smashingsalonliterario libroamericasolidly statedportugal protocoloorah saddiqimusshalfordvetworkthefree lancedeskapogee mgink bloommikay lacampinosgotham medicine34lowseoulyaboogiewoogie cafelewisoftmccuskercopuertoricohead linenewscentrum digitalasiasindonewsbolanewsdapurumamiindozonejakarta kerasjurnal mistispodhubgila promoseputar otomotifoxligaidnggidnppidnppidnggarenaidnppIBS Hospitaliaspappropertiautopark serviceweb designvrimsshipflorida islandcanadianlickatsu shirousahid solonrj radioarena bermain casino speedcara menang beruntun pokerdari bayu permainan bonanzaformula kemenangan stabil gamememahami sinyal maxwin gatotmemanfaatkan jam malam jepemengatur ritme dadu sicbotaktik ampuh memahami cemetrik menurunkan resiko baccarattutor bermain capsa tembuscara bermain bang mintuldefinisi awal tahun baruformula bermain dari bang kriboindonesian speed baccarat barumemasang taruhan sicbomenganalisa kartu ceme kelilingsimak pemilihan kerja casinoteknik memanfaatkan durasitips menang beruntun bermaintrik menang berturut capsa susunauto sultan berkat insting besarhujan petir waktu yang tepat tarik kemenanganindikator peluang dalam ritme putaran angkajadi sorotan usai profit gila gilaankonsistensi lebih penting dari sekedar hokimenulusuri strategi permainan x pulse blackjackobservasi perubahan suhu mesin busted or bailedpendekatan yang nyaman dan konsistenpotensi besar terlihat di crash liveternyata ini triknya para sultan cari uang jajanevolusi permainan roulette terlihat jelasgimana pemain membaca ez bingolink terbaru immersive roulettememahami irama revolution roulettemengamati lebih dalam pola roda jumanjiprediksi mimpi kasinostrategi pola main always baccarat livetertolong data yang bocorupdate peran multiplayer blackjackvisual casino dan panduan sistem algoritmababak baru deal or no dealcampur dengan pola sederhanagebrakan apa lagi dari infinixkejadian unik sering di alamimeta skrib baru untukpemuda dapat ledakan saldopencapaian terbaik buat mantanresep terbaru buat tahu bulattampa cara teraman dari alongtemuan untuk merubah nasibakhirnya yang di tunggu datangalasan mantan selebgram jambiberkat tertipu kur bribukan hanya sukses besarcara menabung 100k selamahebohkan tetangga dan padahonda beat langkah awal bagimau mahir bermain sicbomerubah nasib hanya dariramah di kantong enak di liatbermain dengan ritme berbedadua kebiasaan lama masihempat momen tak terdugakemenangan ke dapur kreatifketika pulang datang tak terdugakisah nelayan muda kepulauanmeta skrib versi terbarunongkrong biasa di bitungperjalanan anak timur hinggatantangan quantum baccarat

https://nationalchildabusecoalition.org/what-is-child-abuse
https://mdafsarali.buet.ac.bd
https://dramachia.com
https://icon8.theillustrationconference.org
https://www.mahatransco.in