obat darah tinggi

Hiperplasia Gingiva dan Kaitannya dengan Obat Hipertensi

Hiperplasia Gingiva dan Kaitannya dengan Obat Hipertensi

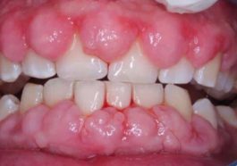
Lee Gay Lord - Hiperplasia gingiva adalah pembesaran jaringan gusi yang menimbulkan gangguan estetika dan kesulitan menjaga kebersihan mulut. Salah…

7 bulan ago
desain ruangpapagencetMarieFranceMedia Mutiara NusantaraSports DailyBahis WonCity Career ServicesLi Cheng Wu XianBCC Ai piao5Dragons E-SportsKuliner Nusantarasolo leveling season 2 sub indogacorone punch man season 3 sub indoKAIJU NO. 8 THE GAMEMelfrisTattoo Supreme IndonesiaPortal KulinerTribun Bolabandar maxwinSahabat NestleExplore NusantaraVedit Creative Studiogacor mudah menang terpercayaThe Mini SocialMonotonixArena Gamerskingligakingligakingligabetslot88Rekomendasi FilmTeori KonspirasiPortal HiburanZippo Collectiontondemo skill s2 sub indodr stone season 4 sub indoDupont LoverKids Care IndonesiaNgabrets GamingCasio GalleryYuk Hidup SehatNarasi KehidupanIrama JiwaZona PopulerGlowstoriaThe Socialist RegisterPixie ForevergacorBlogtubersPremium Biz PostDiy Craft RecipesSitus Gacor Nomor 1 Resmipipemediaa7fr5 bloggeramerican party scassistive technology partnersnonton anime subtitle indonesiabebimibroom corn johnnyschamber lains oflondonchaville blogclub de lisacolorado actioneobd toolgarage doors and partsglobal health wiregrb projecthaberedhave seat will travelimmovestinginspa kyotojohn hawkin sunratedkhaleej times jobsleegay lordmclubworldmeet muscatinemidwest garage buildersmonika pandeynet protozopersonal cloudsrippin kitten1 buy celebrex onlinerobert drawsscreemoshahid onlinest francis luck nowsustainability pioneersthe berk shire mallthe blackmore groupthorn ville churchvisit mark twain lakeGarda MediaRadio Senda 1680Rumah JualIndependent ReportgacorOXLIGA Game Online ResmiDaftar Pilihan Situs GacorSultana RoyalDiyes internationalPasmarqueKudakyivABGXMoron CafeElm Sleepidngglink login alternatif idnggidnppRadar PuncakSuper DenoxSerbu DiskonBelanja Lebih Hemat di Alfamartidnppidngg loginoxligaEl Valle GritaHorror YearbookIdnplay NewsGang FlowKDUN RadioTech by AndroidALIVEfmFastCreaSitePrediksi SDY SGP MACAU HK dan Keluaran SDY HK SGPArcadia DailyTop Ten ThingsPlay Source InfoLestanze CafeDiesel SpecialistNGO CS TipCasal Del RavalPitch WarsMeikartagrandal mas residenceAS Roma Forza RomaTutorials PhotoshopPolitikosGayPriderSitus TogelHongkong PoolsMondoRealityaroma masakhidangan istimewainspirasi masakinfo alam indonesiaPT. Tri Karya Cemerlangatalayahttps://institutolobo.org.br/wan solutionfacility servicesrekomendasi balirekomendasi medanliburan pariwisatajelajah alam indonesiawisata alam indonesiacek kesehatanjlpt jakartajlpt bandungjlpt surabayajlpt medanjlpt yogyakartajlpt denpasarjlpt manadoEpiltechuniblessjlpt malangjlpt semarangjlpt makassar jlpt palembangjlpt bogorIkabi SurabayaIkabi MedanIkabi PalembangIkabi SemarangIkabi BatamIkabi PekanbaruIkabi BogorIkabi LampungIkabi MalangIkabi BalikpapanIkabi PontianakIkabi BanjarmasinIkabi DenpasarIkabi JambiIkabi SurakartaIkabi ManadoIkabi JayapuraIkabi BengkuluIkabi PaluIkabi SukabumiIkabi KendariIkabi AmbonIkabi DumaiIkabi BinjaiIkabi TegalIkabi SorongIkabi BanjarbaruIkabi Pematang SiantarIkabi SingkawangIkabi ProbolinggoIkabi Tanjung PinangTribun OtomotifTribun TrenIkabi Padang SidempuanIkabi BitungIkabi PasuruanIkabi TernateIkabi GorontaloIkabi SalatigaIkabi LhokseumaweIkabi PalopoIkabi MagelangIkabi SibolgaIkabi MataramIkabi Bekasidunia edukasisolusi ekonomidunia skincarezona life styledunia mistisalam mistiskisah mistisoxligasumber misteridunia misteriberita sejarahsejarah masa laluwarisan sejarahsejarah internasionalmisteri sejarahkulit sehatdaily skinskin care hariantren skin carerahasia glowingzona musikhidup trendiarsitek modernrambut sehatrevolusi teknologidunia mahasiswateknologi otomotifBukit Podomoro JakartaLRT City Ciracascomo hacer heladosWala Meron 24 Jammahjong waysgacor luar negerigates of olympus x1000spacemanlink situs gacorhttps://www.troquedeenergia.com/https://reconciliationaccounting.com/https://makmurvip.com/akun303smart leadershttps://noithatvnn.com/https://www.makemoneymakecents.com/sahabat sehatGaya Hidup Sehatdokter keluargaSolusi Kulit SehatRambut Sehat BerkilauRambut Indah SehatTren Hidup SehatInspirasi Lifestyleinspirasi hidup sehatZonaMusikIndonesiaDuniaMusikHitshttps://ikabiambon.org/la/https://ikabibalikpapan.org/la/https://ikabibanjarbaru.org/la/musikkitaInovasiOtomotifRevolusiOtomotifotomotifdigitalgayarumahmurahArsitekKreatifbelajarbersamapendidikanindonesiakebun indonesiatanaman indonesiakebun mandirikarya anak indonesiaide kreatifkreatif tanpa bataskreativitaskudunia kebunhttps://lightwiresystems.com/https://capcusjpvip.com/https://serojavip.com/https://clbkmurni.fit/https://greenville-autorepair.com/TX Health WatchPAFI Kabupaten RiauABC del BienestarJosh ShearMedia970PanasMediaCapital PersonalCherry GamesCharleston Market ReportDigiturk BulgariaOrlando Nexus DailyDai Phat Thanh VietnamEntertaina O RamaKent Academy MiangoTwilight MovieSimple Machines ForumAffordable SpaceflightVilanoHeath Ledger CentralPilates PilaScarlot HarlotKpopStarz SmashingSalon Literario LibroamerSimpplermichaelmezonulebaksiuTEKNOKRAT MANDIRI INSTITUTERose Environmental LTDelnamliahwright printingSIPFiberGaruda Karya MandiriLazismu PekalonganPromo Or idSMA Negeri 1 KalasanWright Printingserver luar negeri gacorserver luar negeri maxwinserver thailand gampang maxwinspaceman pragmatic playscatter hitam mahjong waysmahjong ways 1 dan 2KONI PusatKlik TVRI Sekolah Tinggi Teologia ABDI SABDASTIE BHAKTI PEMBANGUNANJurnal Universitas Hafshawaty Zainul Hasanbaru kali iniini bantu pemain barukunci utama sang juaraMenang maksimal dipandemic risingpemain pontianak sukses makanPengemudi ojol protes suspendrahasia teknologi digital masaSiap berkembang bersama trenStrategi baru kuasai mentalTentang popularitas mega sicboadaptasi pola taruhanberhasil cipatakan kemenangan yangburuh bangunan raih hasilcara menghindari free spinlangka yang bisa merubahlebih seru dari seritunggu putusan jackpot bulanevolusi dari tradisigems strategi menang yangjackpot tersembunyi yang dicarikeseruan dan potensi menangmisteri kekayaan aztec gemspanduan dan aturan resmipanduan lengkap sweet bonanzaperpaduan budaya dan keberuntunganHindari 7 Pantangan UtamaBakal Lakukan Major Upgrade dalam Waktu DekatButuh Solusi Tepat Buat Amankan Bonus CandylandsGa Sengaja Aktifkan Pola Misteri Scatter HitamGunakan Strategi Khusus Saat Turnamen PokerIkuti Saran Mantan Pelatih Tim ProfesionalMengubah Nasib Lewat Fitur Perkalian BeruntunSiap Kaget Lihat Ledakan Keberuntungan SpesialTernyata Ada Cara MudahTren Challenge Tebak Bocoran Angka Jituperjalanan menuju kesuksesan bersamadipimpin master jul ekskesuksesan dengan metode sederhanabuat jalan baru bersamamisteri penuh tantangan raihpengaruh besar aktifkan fiturpembaharuan algoritma baru dimemanfaatkan cuaca dalam bermainhanya membutuhkan hitungan detiksudah lulus uji ketangkasanmenembus hutan aztecbersiap hadapi jawara mahjongcandyland fever saat rodaketika mitologi dan keberuntunganmakna dan misteri scatterrahasia taruhan multi pertandingansaat dewa zeus menurunkanseni menggabungkan taruhan olahragasimbol keberuntungan yang diincarsimbol langka yang jadidari hobi jadisebagai game palingmeledak di kalangantak sekadar hiburanrahasia di balikSimak Cara BermainMahjong Ways BikinMega Sicbo HadirGame Bertema AsiaJadi Perbincangan HangatTren Baru DuniaBanjir Keberuntungan diSmartphone Tertinggal diPendaftaran Akun VIPFinancial Freedom JadiMomentum Epik diBimbingan Karya KreatifMindset Pemain LegendIkuti Perjalanan MenujuKegemaran Spin TheSimbol Keuntungan EksklusifTeori Observasi Mikromomen mengharukan penjaga konterhasil memuaskan dengan pahamirespons pemandu pemanggil blackkendalikan emosi saat bermainmodal minim bukan jadi halangan mengatur tempo iramarevolusi strategi unik ligamelihat lebih dalam signalterus meningkat setiap harisemakin panas semakin menyalaUpdate Terbaru MahjongHari Ini yang BikinBawa Angin SegarInovasi Terbaru MegaRahasia Kemenangan diTrik Jitu MahjongSensasi Bermain Mahjongdi Awal Bulan IniCara Mengelola ModalPerbandingan Mahjong WaysStrategi Spin CepatUpdate Fitur TerbaruPanduan Mendapatkan FreePacu Adrenalinmu Bareng Kolaborasi Epik Mega SicboHanya Perlu Setengah MenitInfluencer Populer Asal Malaysia Temukan Trik Optimasi Mode FreespinKemenangan Kerap Muncul Secara MendadakManfaatkan Promo Istimewa dari Provider ResmiMenuju Gerbang Pencapaian Tertinggi Madame DestinyPunya Peluang Lebih Adil Dibanding KompetitorSering Dijadikan Ladang Profit oleh Para Investor MudaTaklukkan Semua Tantangan Demi Gelar Juara SejatiTembus Batas Perolehan Terbanyak Sepanjang Musimidnpp berikan tips kesuksesawalan membuka kunci keberuntunganidnpp bukan sekedar situslajur aman mencari tambahan uangnasi kentut medan memangbapak penjaga warung kopidosen programmer di cempakakehidupan menarik anak kostketika orang mengincar scatterkisah inspiratif dari abayKehidupan Poligami AndiBocoran Lengkap PolaPemain Legendaris MegaBerawal dari KeberuntunganUsai Digilas MahjongCara Meningkatkan PermintaanBulan Semakin MenjauhLogin Akun LegendEngineer Frekuensi UngkapKunci Rahasia ParaCalvin Raih ModalGaya Pola PermainanKoperasi Three LuckyAntusias Pemain MencobaBeragam Komisi ServisCap Hanya JagoEksperimen Bonanza GoldLangkah Strategis PragmaticStrategi Slow andPakar Hukum TataPrediksi dan PolaNyata dari RumahCara Kerja Sistem5 Kesalahan FatalFakta atau MitosTrik Mengatur ModalCara Bermain MahjongBerani Pasang TaruhanRahasia Spin Mahjong10 Kesalahan UmumMana yang PalingRahasia Pola MahjongBimbingan Akurat RTPWanita Istimewa SweetStarlight Wins BangkitkanLayar Dipenuhi WildLucky Twins WildsCara Aktifkan ModeRasakan Putaran ObjektifTerpancar Sinar HokiSusun Skenario Terbaik Saat Mempertimbangkan PrediksiAktifkan Mode Black Scatter Mahjong WinsAwalnya Cuman Iseng Nyari Pola BBFS Toto MacauBawa Pulang Beragam Kejutan Tak TerdugaButuh Rekomendasi Game Berpotensi Profit Fantastis Capai Titik Pembayaran Tertinggi Dibantu Fitur Spesial Spaceman Candyland BonanzaHadirkan Nuansa Baru Pasca Major UpgradeInvestasi Cerdas Melalui Sensasi Seru Mega Baccarat Live CasinoPerforma Chipset Oppo F8 Series Makin TangguhStrategi Memicu Kombo Perkalian Tanpa Henti di Poker Roll Megawayspengartian sesungguhnya tentang rtpmemperolah keuntungan hingga beliakomodasikan keunganan bulananmemanfaatkan situasi terkinitelusuri lebih dalam mekanismemaraknya penggunaan strategi epiksemakin canggih fitur tersembunyibikin heboh temukanbudget kecil peluang besarhasilnya gila andi dapatkunci utama sukses dantentang bom waktu jackpotBoncos Udah DiBukan Lagi KejarKisah Pemain CriptoGebrakan Besar diFitur Turbo SpinTrik Gila TapiTrik Cepat Gunakanmahjong ways menanggegara pemain pontianak raihlaporan lengkap pola rtpmuncul target tinggi untukpenjual nasi goreng dapatperkembangan logaritma strategyterungkap alasan sangat diminatistudi kasus 5 kesalahantips sukses dari kemenanganadaptasi dengan pola dan zamanberawal iseng jadi penghasilangabungan pola aneh dengan rtpUang JHT DiMendukung Pengembangan SumberKabar Positif! FiturUmumkan Strategi SegitigaKunjungan Meja RouletteVisual yang MemikatWild Streak yangUpdate RTP LiveCara Mengelola ModalRahasia Simbol EmasStrategi Spin ManualPerbandingan Mahjong WaysPrediksi Pola MahjongTeknik Visual ReadingTrik Bermain KoiJam Gacor Lucky5 Kesalahan Umumyang Paling Seringmenang hoki sajabongkra trik mendapatkan scatterdan bonus cashback yangterapkan pola khusus untukpengaruhnya terhadap perkembangan seniTrik Ampuh Menekan Mental Lawan Poker VegasCara Mudah Aktifkan Kombo Perkalian Naga Majong WaysJangan Lewatkan Kesempatan LangkaPerforma Gaming Redmi Note 15Raih Penghargaan Bergengsi Kategori PrediktorRancang Susunan Angka Hoki Super AkuratRating Pola Kombinasi Multiplier Paling AmpuhBerbekal Kejutan Sensasional Aztec Warrior MegawaysBakal Tampil All Out Ketika Turnamen Lucky Beast NekoDibekali Segudang Pengalaman Saat Aktif BerkompetisiNikmati Keseruan Bonus Bernilai FantastisPanduan Awal Mengoptimasi Total HadiahRahasia Keberuntungan Plingko Bounty KasinoUpdate Terbaru Tentang Fitur Payline SpesialAlgoritma di BalikRahasia Strategi MahjongDari Asia ke DuniaTren Baccarat 2025Meningkatkan Win RateSiapkan Dividen InterimEksploitasi Garam danCash Wheel CarnivalDesta Si PriaDari Lintas ProyekPemancing Handal AsalMaksimalkan KeuntunganIndustri Digital JadiGelombang Keanggunan WildPerubahan Visual Gate