cara penanganan kematian saraf gigi

Gigi Hitam: Tanda Kematian Saraf Gigi yang Sering Diabaikan

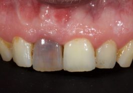
Gigi Hitam: Tanda Kematian Saraf Gigi yang Sering Diabaikan

Lee Gay Lord - Gigi yang berubah warna menjadi hitam bukan hanya persoalan estetika, tetapi bisa menjadi pertanda serius dari…

7 bulan ago
desain ruangpapagencetMarieFranceMedia Mutiara NusantaraSports DailyBahis WonCity Career ServicesLi Cheng Wu XianBCC Ai piao5Dragons E-SportsKuliner Nusantarasolo leveling season 2 sub indogacorone punch man season 3 sub indoKAIJU NO. 8 THE GAMEMelfrisTattoo Supreme IndonesiaPortal KulinerTribun Bolabandar maxwinSahabat NestleExplore NusantaraVedit Creative Studiogacor mudah menang terpercayaThe Mini SocialMonotonixArena GamerstotowinkingligakingligakingligaRekomendasi FilmTeori KonspirasiPortal HiburanZippo Collectiontondemo skill s2 sub indodr stone season 4 sub indoDupont LoverKids Care IndonesiaNgabrets GamingCasio GalleryYuk Hidup SehatNarasi KehidupanIrama JiwaZona PopulerGlowstoriaThe Socialist RegisterPixie ForevergacorBlogtubersPremium Biz PostDiy Craft RecipesSitus Gacor Nomor 1 Resmipipemediaa7fr5 bloggeramerican party scassistive technology partnersnonton anime subtitle indonesiabebimibroom corn johnnyschamber lains oflondonchaville blogclub de lisacolorado actioneobd toolgarage doors and partsglobal health wiregrb projecthaberedhave seat will travelimmovestinginspa kyotojohn hawkin sunratedkhaleej times jobsleegay lordmclubworldmeet muscatinemidwest garage buildersmonika pandeynet protozopersonal cloudsrippin kitten1 buy celebrex onlinerobert drawsscreemoshahid onlinest francis luck nowsustainability pioneersthe berk shire mallthe blackmore groupthorn ville churchvisit mark twain lakeGarda MediaRadio Senda 1680Rumah JualIndependent ReportgacorOXLIGA Game Online ResmiDaftar Pilihan Situs GacorSultana RoyalDiyes internationalPasmarqueKudakyivABGXMoron CafeElm Sleepidngglink login alternatif idnggidnppRadar Puncak6 Kategori Masyarakat yang Tidak Menerima BLT KesraSerbu DiskonInfo Traffic Ididnppidngg loginoxligaEl Valle GritaHorror YearbookIdnplay NewsGang FlowKDUN RadioTech by AndroidALIVEfmFastCreaSitePrediksi SDY SGP MACAU HK dan Keluaran SDY HK SGPArcadia DailyTop Ten ThingsPlay Source InfoLestanze CafeDiesel SpecialistNGO CS TipCasal Del RavalPitch WarsMeikartagrandal mas residenceAS Roma Forza RomaTutorials PhotoshopPolitikosGayPriderSitus TogelHongkong PoolsMondoRealityaroma masakhidangan istimewainspirasi masakinfo alam indonesiaPT. Tri Karya Cemerlangatalayahttps://institutolobo.org.br/wan solutionfacility servicesrekomendasi balirekomendasi medanliburan pariwisatajelajah alam indonesiawisata alam indonesiacek kesehatanjlpt jakartajlpt bandungjlpt surabayajlpt medanjlpt yogyakartajlpt denpasarjlpt manadoEpiltechuniblessjlpt malangjlpt semarangjlpt makassar jlpt palembangjlpt bogorIkabi SurabayaIkabi MedanIkabi PalembangIkabi SemarangIkabi BatamIkabi PekanbaruIkabi BogorIkabi LampungIkabi MalangIkabi BalikpapanIkabi PontianakIkabi BanjarmasinIkabi DenpasarIkabi JambiIkabi SurakartaIkabi ManadoIkabi JayapuraIkabi BengkuluIkabi PaluIkabi SukabumiIkabi KendariIkabi AmbonIkabi DumaiIkabi BinjaiIkabi TegalIkabi SorongIkabi BanjarbaruIkabi Pematang SiantarIkabi SingkawangIkabi ProbolinggoIkabi Tanjung PinangTribun OtomotifTribun TrenIkabi Padang SidempuanIkabi BitungIkabi PasuruanIkabi TernateIkabi GorontaloIkabi SalatigaIkabi LhokseumaweIkabi PalopoIkabi MagelangIkabi SibolgaIkabi MataramIkabi Bekasidunia edukasisolusi ekonomidunia skincarezona life styledunia mistisalam mistiskisah mistisoxligasumber misteridunia misteriberita sejarahsejarah masa laluwarisan sejarahsejarah internasionalmisteri sejarahkulit sehatdaily skinskin care hariantren skin carerahasia glowingzona musikhidup trendiarsitek modernrambut sehatrevolusi teknologidunia mahasiswateknologi otomotifBukit Podomoro JakartaLRT City Ciracascomo hacer heladosWala Meron 24 Jammahjong waysgacor luar negerigates of olympus x1000spacemanlink situs gacorhttps://www.troquedeenergia.com/https://reconciliationaccounting.com/https://makmurvip.com/akun303smart leadershttps://noithatvnn.com/https://www.makemoneymakecents.com/sahabat sehatGaya Hidup Sehatdokter keluargaSolusi Kulit SehatRambut Sehat BerkilauRambut Indah SehatTren Hidup SehatInspirasi Lifestyleinspirasi hidup sehatZonaMusikIndonesiaDuniaMusikHitshttps://ikabiambon.org/la/https://ikabibalikpapan.org/la/https://ikabibanjarbaru.org/la/musikkitaInovasiOtomotifRevolusiOtomotifotomotifdigitalgayarumahmurahArsitekKreatifbelajarbersamapendidikanindonesiakebun indonesiatanaman indonesiakebun mandirikarya anak indonesiaide kreatifkreatif tanpa bataskreativitaskudunia kebunhttps://lightwiresystems.com/https://capcusjpvip.com/https://serojavip.com/https://clbktotovip.com/https://greenville-autorepair.com/TX Health WatchPAFI Kabupaten RiauABC del BienestarJosh ShearMedia970PanasMediaCapital PersonalCherry GamesCharleston Market ReportDigiturk BulgariaOrlando Nexus DailyDai Phat Thanh VietnamEntertaina O RamaKent Academy MiangoTwilight MovieSimple Machines ForumAffordable SpaceflightVilanoHeath Ledger CentralPilates PilaScarlot HarlotKpopStarz SmashingSalon Literario LibroamerSimpplermichaelmezonulebaksiuTEKNOKRAT MANDIRI INSTITUTERose Environmental LTDelnamliahwright printingSIPFiberGaruda Karya MandiriLazismu PekalonganPromo Or idSMA Negeri 1 KalasanWright Printingserver luar negeri gacorserver luar negeri maxwinserver thailand gampang maxwinspaceman pragmatic playscatter hitam mahjong waysmahjong ways 1 dan 2KONI PusatKlik TVRIcomedy oxliga Sekolah Tinggi Teologia ABDI SABDAJurnal Universitas Hafshawaty Zainul HasanMampu Pecahkan Rekor Maxwin Mahjong CandylandBerpetualang Seru Sepuasnya Bareng SpacemanCara Gampang Untung Terus dari Diamond RouletteDidukung Sistem Unlimited PaylinesFenomena Aneh Pas Layar Infinix GT 50Ga Sengaja Buka Mode GachorMasuk Nominasi Game TerpopulerMenang Banyak Lewat Prediksi AkuratRutin Bocorkan Bonus Jepe SultanSering Beri Kemenangan untuk Pemulastrategi jitu dari bang riobaccarat casino menjadi gamebedah tutor menang beruntuncara gampang cek room gacordari iseng depo di oxligafakta game princess superformula yang di temukan sepuhgame gampang menang oxligaintip bocoran pola dari adminkecepatan tangan menjadi satukisah nyata dari pedagang cilormontir di salemba berhasilpersona dari game zeusshortcut pola sederhana olympusberapa jumlah tim idealcara mudah memicu freespindan kapan harus pindahkapan waktunya naik taruhanmodal saat mengejar superpanduan visual lengkap untukwaktu terbaik untuk mendapatkanHiburan Tanpa BatasRahasia Kepercayaan DiriFitur Interaktif BloodCara Meningkatkan PeluangMasa Depan WildMengamati Irama KemenanganStrategi Mental alaInovasi Fitur TerbaruKunci Menuju RewardMendeteksi Pola AkrobatMentalitas Satu LangkahMisteri Dadu danEvent Komunitas StarlightMomen Megawin diTajamnya Raider JaneTren Interaktif TerbaruBukan Sekadar GimikEvolusi Modern GamePower Burst SweetEmosi Di LingkaranTrik Profesional PemainAda Tambang WildDapat Bookingan OddsHadiri Rakornas PercepatanMembaca Momentum SeniMomen Room SakralProfit Anggara HansSatu Posisi JadiKomplotan Peminat Naturalisasijam terbang pemain yangmenguak frekuensi scatter dansedikit pola permainan megastrategi khusus untuk membukastrategi paling efektif mendapatkanstrategi pembelian fitur belistrategi pemilihan tim danTafsirkan Mimpimu Sesuai Tafsir Kode AlamFokus Perhatikan Mulai dari Pembagian Kartu KeduaJangan Ragukan Kemampuan Baccarat Tiger BonanzaKonsisten Kasih Keuntungan Setiap HariNikmati Putaran Penuh Sensasi Tak TerdugaPuncak Kemenangan Tertinggi MenunggumuTemukan Racikan Odds Mix Parlays CMD368Persaingan Merebut Gelar Juara BertahanCiptakan Momen Spesial Menurut Versimu SendiriHadirkan Kesan Nostalgia Bernuansa Semi RetroLahirkan Banyak Sultan Bermental BajaMakin Laris Sejak Patching TerbarunyaRaih Berbagai Kejutan Menarik Lewat Fitur Mega BonusSering Coba Pancing Keberuntunganmu formula rahasia bermain casinoadit anak kost mangga besarandre baru belajar main mahjongaryo sukses mendadak usai menanggame baru pharaoh royalskiki baru daftar di oxligakisah roberto pasang mix parlaymega sicbo penghasil cuanpeluang besar untuk pemain barupola lawas kembali ampuhracikan pola ala juan di gametheo iseng pasang togel saattips efektif untuk pemulatrik pola backdoor memberikantukang tahu bulat di porisanalisis mendalam rtp danlengkap fitur kucing keberuntunganmana yang menawarkan peluangmemanfaatkan pengganda yang terusmenguasai kombinasi perkalian bomstrategi penggulungan ikan koiteknik membaca pasar danbaik investor konglo beralihbangkit analis ramal akaninfluencer tiktok pamerkan saldoini bisa bantu deteksikamera dan grafik cocoklakukan uji coba polayang berhasil raih keuntungancara paham pola rtpefesiensikan budget tanggal tuahasil maksimal royale baccaratkebiasaan baik baccarat spesialmetode ciamik mahjong winsperan ai dalam provide pgsoftriset cara dapet super scatterscatter hitam mahjong christmasstrategi efisien modal rtpteknik membaca rtpteknik menang baccarat live kasinohttps://www.berita-kedokteran-masyarakat.org/Berkat Lensa SangDi Pimpin RajaGanas di AwalSiap Beri KejutanJuta Orang RIPemain Casino LiveJurusan Casino Terbaikdemi langkah bermain efektifmengapa memilih lebih darimenguasai mekanisme kaskade danpanduan lengkap simbol nagapanduan tepat memanfaatkan fitursimbol emas golden symboltinggi pada aztec gemsBimbingan Reels SynchronizationBuruh Usulkan DuaKeterampilan Seni PolaKonsistensi Hasil WildPeran Teknologi ImersifRangkuman Lewat ArgumenRilis Klasterisasi PerguruanPeran Eastern EmeraldsFunky Time EvolutionDialog Intens BersamaEvaluasi Strategi HoloGrounded Sejak PandemiMain Lucky SpinBetty Bonkers PlaytechKisah Perjuangan Amel GodekBantu Amankan Peluang Kemenangan Gatotkaca Fury FistsKapan Waktu Streaming TerbaikMisteri Pola Multiplier Sebaris Kraken Gold RushPunya Potensi Profit Tanpa Batasan NilaiSapu Bersih Fitur Perkalian BerjejerWujudkan Impian Tur Keliling DuniaAbadikan Momen Langka Ketika Mode Naga HitamGunakan Metode Perhitungan Odds Paling EfektifJangan Sampai Salah LangkahKajian Unik Tentang Kitab Mimpi Semar HitamMasuk Nominasi Game Pendatang Baru TerfavoritNekad Lakukan Ritual Mistis Saat Turnamen Sicbo Performa Chipset Tangguh POCO X7driver di bali lapor ketuacara cerdik kibo meraukhanya dengan modal tipisluar biasa pola ghacorrian master olympus 1000teori mas acep bikin panentips ampuh banjir scattertrik pintar dari bangtuai kontroversi bang kribotutor cara peluang belikekayaan instan dari gerbangkisah pemain beruntung gamepengusaha alat berat sulapselalu raih kemenangan besarsosok msbreewc putri sulungthe fed picu aksizodiak pemecah jackpot terbesarapakah permainan ini cocokberapa kali rata ratakonsisten analisis pola jatuhanmenentukan besar kecil taruhanpanduan khusus mengaktifkan putaranrahasia kombinasi simbol tertinggiwaktu terbaik untuk bermainmeneliti aset berkas pentingbukan soal mempunyai kemampuandengan mengikuti data analispakar game digital siapjam terbang menjadi rahasiasemakin maju teknologi bawa perubahanskema paling banyak di gunakanhal kecil yang jarangselalu jadi andalan seniortutorial terpadu mengetahuiBuktikan keunggulan produk destinatorBBBBCara objektif spin adventureDanantara pantau ketat investasiKlaim kembali sistem rujukanMulai produksi teknologi tempurPaparkan kenaikan profit wildYang easy untuk dipraktekanbandito kombinasi auto spincek persentase sebelum berburumemilih level dan koinpaling umum yang haruspanduan jitu pemicu simboltips manajemen modal wajibyang benar dan terstrukturcepat dan turbo palingjitu kunci menganalisis datamana yang lebih untungmemahami mekanisme gold framesmemilih jumlah baris danpanduan lengkap cara kerjastrategi progresif positif untukawal cuma mau panaskan mesincara mengetahui tanda turunnyacerita aldo ikuti bocoran mixdengan bermodalkan hasil nariklangkah pertama untuk mendapatkanpedagang nasi uduk cengkarengpemain pemula berhasil dapatkanpenjual buah kiloan pinggirrahasia scatter hitam mahjongresep pola bumbu dapur sendiriskema baccarat casino speedspin manual turbo spektakulertrik skema pola andalanyanto lagi feeling jepe dianalisis volatilitas dan tingkatcara mendapatkan perkalian tambahanmemahami mekanisme dan potensimenggunakan fitur buy freespinperbedaan dan keuntungan bermainstrategi stop loss danwajib dihindari pemula danEfek animasi dinamis pragmaticKomisaris utama sexy baccaratManajemen risiko yang cermatPeran grafis dan efekPola pengelolaan yang terukurSentuhan sistematis dengan responsSimbol fitur spin boostmemancing sedikit demi sedikitmuncul tren baru di kalangan mahasiswasemarakan festival tahunantargetkan hasil maksimaljangan gegabah saat menentukantips mengelola keuangan tengah bulanjelang pertengahan bulanlewati rintangan dan ambil peluangrajin mengulik beberapa harimelewati lika liku perjalananpindah pindah game hinggarekapan final dari penelitiCair Serentak di PuluhanDiprediksi Hadir denganBanyuwangi Jadi TuanBursa Transfer MicrogamingPemain Wild BanditoProvider Paling KayaTapi Duo PemainDanantara Beberkan AlasanTak Tahu JawabannyaDulu Jadi KorbanMasuk Daftar ProfitNetanyahu Klaim TidakNgga Mau KalahPeluang Cuan EmitenDana Sisa BisaKeunikan Batu SemeruMinta Proporsi SDMKunci Menikmati SuperMasih Stabilkah InvestasiMengalir Bersama IntensitasMeningkatkan Eksposur Dalam