Health News

Efek Samping dari Sering Minum Obat Antiradang
  • Health News

Efek Samping dari Sering Minum Obat Antiradang

Lee Gay Lord - Obat antiradang atau antiinflamasi sering digunakan untuk meredakan nyeri, pembengkakan, dan peradangan akibat berbagai kondisi medis.…

11 bulan ago
  • Health Technology

Bedah Bariatrik: Solusi Medis untuk Menurunkan Berat Badan

Lee Gay Lord - Bedah bariatrik adalah prosedur medis yang bertujuan untuk membantu seseorang menurunkan berat badan dengan mengubah sistem…

11 bulan ago
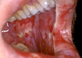
  • Health Education

Fibroma Oral: Si ‘Jinak’ yang Bisa Ganggu Kenyamanan Mulut

Lee Gay Lord - Fibroma oral adalah salah satu kondisi jinak yang cukup sering dijumpai pada jaringan lunak di dalam…

11 bulan ago
  • Health Education

Mengenal Hipersalivasi: Ketika Air Liur Terlalu Banyak

Lee Gay Lord - Hipersalivasi, atau dikenal juga sebagai sialorea, adalah kondisi di mana seseorang memproduksi air liur secara berlebihan.…

11 bulan ago
  • Health News

Kontroversi: Dokter Umum Boleh Lakukan Operasi Caesar?

Lee Gay Lord - Pemerintah melalui Kementerian Kesehatan (Kemenkes) berencana memberikan izin kepada dokter umum untuk melakukan operasi caesar. Menteri…

11 bulan ago
  • Health Education

Ameloblastoma: Tumor Jinak Rahang yang Perlu Diwaspadai

Lee Gay Lord - Ameloblastoma adalah jenis tumor jinak yang berkembang pada rahang, terutama di area mandibula (rahang bawah). Meskipun…

11 bulan ago
  • Health News

Pemeriksaan Prenatal: Kunci Deteksi Dini Kehamilan Berisiko

Lee Gay Lord - Pemeriksaan prenatal merupakan langkah penting yang perlu dilakukan setiap ibu hamil untuk memastikan kehamilan berjalan dengan…

11 bulan ago
  • Health Education

Cheilitis Aktinik: Penyakit Bibir Akibat Paparan Sinar Matahari

Lee Gay Lord - Cheilitis aktinik adalah kondisi serius pada bibir yang disebabkan oleh paparan sinar matahari secara terus-menerus. Sayangnya,…

11 bulan ago
  • Health News

Apa itu Alice in Wonderland Syndrome (AIWS)?

Lee Gay Lord - Alice in Wonderland Syndrome (AIWS) adalah gangguan neurologis yang sangat langka dan membingungkan bagi penderitanya. Gangguan…

11 bulan ago
  • Health News

Kasus COVID-19 Kembali Melejit di Singapura, Apa yang Terjadi?

Lee Gay Lord - Singapura tengah menghadapi lonjakan signifikan kasus COVID-19 dalam beberapa pekan terakhir yang sangat mengkhawatirkan. Berdasarkan data…

11 bulan ago
Zona IDNGGsekumpul faktaradar puncakinfo traffic idscarlotharlot1buycelebrexonlinebebimichaville bloghaberedhaveseatwill travelinspa kyotorippin kittentheblackmore groupthornville churchgarage doors and partsglobal health wiremclub worldshahid onlinestfrancis lucknowsustainability pioneersjohnhawk insunratedleegay lordamerican partysckhaleej timesjobsmidwest garagebuildersrobert draws5bloggerassistive technology partnerschamberlains of londonclubdelisameet muscatinenetprotozovisit marktwainlakebroomcorn johnnyscolor adoactioneobdtoolgrb projectimmovestingelvallegritalight housedenvermonika pandeypersonal cloudsscreemothe berkshiremallhorror yearbooksimpplertxcovidtestpafi kabupaten riauabcd eldescansogardamediaradio senda1680rumah jualindependent reportsultana royaldiyes internationalpasmarquekudakyividn play365nyatanyata faktatechby androidwxhbfmabgxmoron cafepitch warsgang flowkduntop tensthingsplay sourceinfolestanze cafearcadiadailyresilienceapacdiesel specialistsngocstipcasal delravalfast creasiteupstart crowthecomedyelmsleepjoshshearmedia970panas mediacapital personalcherry gamespilates pilacharleston marketreportdigiturk bulgariaorlando mayor2023daiphatthanh vietnamentertain oramakent academymiangotwilight moviepipemediaa7frmuurahaisetaffordablespace flightvilanobandheathledger centralkpopstarz smashingsalonliterario libroamericasolidly statedportugal protocoloorah saddiqimusshalfordvetworkthefree lancedeskapogee mgink bloommikay lacampinosgotham medicine34lowseoulyaboogiewoogie cafelewisoftmccuskercopuertoricohead linenewscentrum digitalasiasindonewsbolanewsdapurumamiindozonejakarta kerasjurnal mistispodhubgila promoseputar otomotifoxligaidnggidnppidnggarenaoxligawbototoiaspweb designvranalisis kecepatan withdraw kilat pada mahjong wins berdasarkan perilaku penggunabaccarat modern mengalami pergeseran pola taruhan berdasarkan data real timeblackjack online memperlihatkan konsistensi hit rate berdasarkan pola bermain rasionaldragon tiger kini menjadi simulasi statistik populer dalam eksperimen peluang singkatgates of olympus mengungkap pola pembayaran stabil dalam tren wede berkelanjutankajian sistem poker digital terhadap efisiensi transaksi dan rasio kemenanganpragmatic play casino menampilkan distribusi hasil yang lebih transparan tahun iniroulette interaktif menghadirkan variasi distribusi angka dengan algoritma terbarustudi rtp dinamis starlight princess dalam meningkatkan probabilitas profit konsistensweet bonanza sebagai model permainan adaptif pada strategi perolehan dana cepatdigital gaming trends 2026 mengarah pada sistem withdraw cepat berbasis teknologievolution gaming mengoptimalkan sistem pembayaran untuk respons lebih instanlive casino indonesia mencatat lonjakan aktivitas pada transaksi real time cepatlucky neko memperlihatkan tren pembayaran cepat dalam siklus permainan hariannolimit city menawarkan eksperimen volatilitas tinggi dengan output lebih cepatmahjong wins menggambarkan pola aliran dana stabil dalam skema perolehan cepatgates olympus menjadi indikator awal tren hasil konsisten pada platform modernstarlight princess menghadirkan variasi distribusi return berdasarkan observasi aktualsweet bonanza menunjukkan adaptasi sistem terhadap ritme permainan dinamislucky neko mengungkap perubahan perilaku user dalam siklus transaksi singkatwild bandito menggambarkan stabilitas output pada sistem tanpa gangguan teknispragmatic play mendorong transparansi hasil melalui integrasi teknologi terkininolimit city menghadirkan eksplorasi risiko tinggi dalam lingkungan variatifpg soft memperkenalkan mekanisme respons cepat dalam proses penarikan danaevolution gaming menguatkan sistem real time untuk efisiensi aktivitas digitalstudi poker online menunjukkan korelasi antara strategi rasional dan output konsistenkajian casino interaktif mengarah pada perubahan pola distribusi hasil modernbaccarat digital menjadi referensi dalam analisis perilaku taruhan berbasis datadragon tiger mengalami transformasi sebagai simulasi peluang berjangka pendekblackjack modern memperlihatkan konsistensi rasio berdasarkan pendekatan analitisanalisis komprehensif meja kartu menilai efisiensi strategi dalam permainan baccaratbaccarat tinjauan sejarah dan modernisasi teknologi dalam industri gaming globaldinamika random number generator menelaah transparansi sistem pada industri hiburanevolusi mekanisme slot bagaimana arsitektur perangkat lunak mempengaruhi hasil akhirmanajemen risiko finansial parameter utama dalam menjaga konsistensi hasil bermainpsikologi perilaku konsumen dampak visualisasi grafis terhadap keputusan bermain slotslot gacor studi empiris mengenai hubungan antara volatilitas dan loyalitas pemainstrategi probabilitas tinggi mengulas korelasi antara keberuntungan dan logika matematiscandy burst menjelaskan pengaruh tempo permainan terhadap keputusan dalam sistem blackjackdinamika rtp bagaimana penyesuaian algoritma mempengaruhi ekspektasi kemenangan pemain secara signifikanevolusi slot gacor mengapa volatilitas tinggi menjadi indikator utama efisiensi performa mesin virtualfenomena slot gacor tinjauan terhadap pergeseran tren hiburan digital di era ekonomi kreatifphoenix rises menjadi sorotan dalam analisis perilaku pengguna pada platform baccarat digitalpirate gold deluxe diulas sebagai studi kasus dinamika risiko dalam mekanisme roulette klasikpsikologi baccarat pengaruh kedisiplinan emosional terhadap keberhasilan sesi permainan jangka panjangqueen of bounty mengangkat diskursus tentang efisiensi hasil dalam sistem dragon tiger cepatrise of apollo menggambarkan hubungan antara rtp dan preferensi interaksi dalam casino modernroma x menghadirkan kajian akademis tentang stabilitas hasil dalam platform casino digitalstrategi baccarat membedah rasio probabilitas antara banker dan player dalam perspektif matematiszeus vs hades menjadi representasi konflik strategi dalam lingkungan poker kompetitif modern